I offer the following services on a private basis:
- Specialist restorative dental treatment
- Diagnosis & treatment planning
- 2nd opinions
- Snoring appliances
- Medico legal dental reports
- Post-graduate education
Consultations are undertaken at South Coast Dental Specialists, Dorchester.
Explanations of treatment options

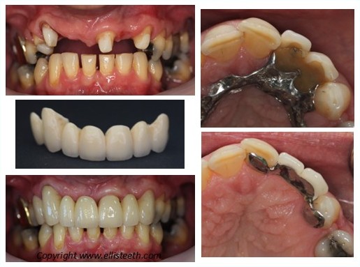
Bridges
Fixed Prosthodontics
An adhesive (sticky) bridge is a fixed solution that is bonded to the next tooth via a metal wing. This simply uses the strength of the adhesive to bond the false tooth to the adjacent tooth. This bond strength can be weakened over time and the bridge can be lost.
A conventional bridge involves the cutting the adjacent teeth to prepare them to support a bridge. Depending on the status of the teeth there is limited risk teeth may die.
Cleaning of both bridges with interdental brushes is crucial to longevity.

Dentures
Removable Prosthodontics
Dentures can be partial or full and constructed from plastic or metal to fit the gums and/or remaining teeth.
They are bulkier than bridges and implant crowns and tolerance can be an issue. They are less invasive and have many benefits especially when well planned and are easier to maintain.
Dentures should be removed at night and cleaned with a brush and cleaning soak.

Implants
A dental implant is a titanium screw that fuses with the underlying bone.
A false tooth is attached to the implant once it has healed. This has aesthetic and functional advantages but most importantly is a stand-alone unit that does not involve the neighbouring teeth. Implants can also be used to stabilise loose dentures with studs or bars.
Implant restorations still need cleaning to ensure long term survival and, depending on the complexity, this can be time consuming.

Endodontics
This specialty refers to the removal of the nerve (pulp) of a tooth as is often called root canal (therapy). This is needed when the tooth dies and often causes a dental abscess directly from tooth decay or when teeth are heavily restored over the years.
Teeth will often need crowning afterwards to structurally reinforce them and prevent fractures. The restorability of the tooth/root is important to consider as part of the overall management process.

Periodontics
This specialty refers to treatment of the gums (the periodontium) which includes the underlying bone.
Conventionally this relates to managing periodontal disease but it also encompasses gingival recontouring and grafting for aesthetics as well as enhancing cleaning and restorations such as crown lengthening surgery.

Snoring applicances
Dental appliances MAY prevent snoring and Obstructive Sleep Apnoea by modifying the position of the upper airway structures so as to enlarge and/or reduce collapsibility of the airway. There are many different types of dental appliances although the consensus appears to be a type of Mandibular Repositioning Appliance (MRA), which repositions the lower jaw in a forward and down position to open up the airway at the back of the mouth. MRAs are simple, non-invasive, reversible and cost-effective and may be the basis of definitive life-long treatment.
Selection of cases





Restorative Dentistry is often destructive of tooth structure and will always need enhanced maintenance. Optimising tooth cleaning by the patient and professionally by the dental hygienist is essential. All restorations have a lifespan, also called longevity, and for veneers, crowns, bridges are considered as averages by scientific studies and in the order of 10-12-15 years with many caveats to these figures. The case below shows that sometimes there are different ways to achieve excellent results.
